症例紹介CASE
- いろは歯科西院・矯正歯科
- 症例紹介
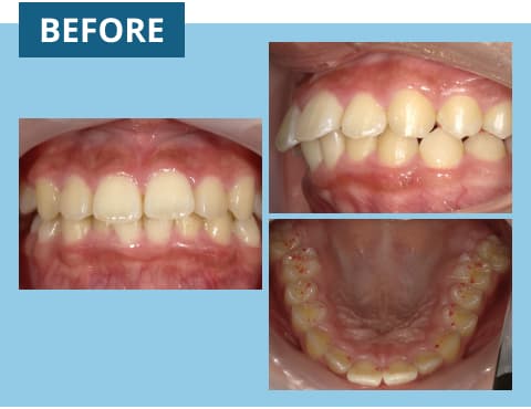
前歯に隙間があり噛めない


| 治療内容 | インビザライン |
|---|---|
| 治療期間・回数 | 20ヶ月(2ヶ月に1度の通院・調整料3,000円/回) |
| 費用 | 858,000円(税込・検査と診断料込・健康保険の適用外) |
| リスクと副作用 | ・1日20時間以上マウスピースを使用できない場合、治療計画通りに歯が動かない可能性があります。 ・虫歯・歯肉炎のリスクが高まります。 |
前歯のがたつき


| 治療内容 | インビザライン |
|---|---|
| 治療期間・回数 | 21ヶ月(2ヶ月に1度の通院・調整料3,000円/回) |
| 費用 | 858,000円(税込・検査と診断料込・健康保険の適用外) |
| リスクと副作用 | ・1日20時間以上マウスピースを使用できない場合、治療計画通りに歯が動かない可能性があります。 ・虫歯・歯肉炎のリスクが高まります。 |
上あごの前歯が出ている


| 治療内容 | インビザライン |
|---|---|
| 治療期間・回数 | 12ヶ月(2ヶ月に1度の通院・調整料3,000円/回) |
| 費用 | 858,000円(税込・検査と診断料込・健康保険の適用外) |
| リスクと副作用 | ・1日20時間以上マウスピースを使用できない場合、治療計画通りに歯が動かない可能性があります。 ・虫歯・歯肉炎のリスクが高まります。 |
前歯のすきっ歯


| 治療内容 | インビザライン |
|---|---|
| 治療期間・回数 | 11ヶ月(2ヶ月に1度の通院・調整料3,000円/回) |
| 費用 | 858,000円(税込・検査と診断料込・健康保険の適用外) |
| リスクと副作用 | ・1日20時間以上マウスピースを使用できない場合、治療計画通りに歯が動かない可能性があります。 ・虫歯・歯肉炎のリスクが高まります。 |
出っ歯


| 治療内容 | インビザライン |
|---|---|
| 治療期間・回数 | 13ヶ月(2ヶ月に1度の通院・調整料3,000円/回) |
| 費用 | 858,000円(税込・検査と診断料込・健康保険の適用外) |
| リスクと副作用 | ・1日20時間以上マウスピースを使用できない場合、治療計画通りに歯が動かない可能性があります。 ・虫歯・歯肉炎のリスクが高まります。 |
前歯のがたつき


| 治療内容 | インビザライン |
|---|---|
| 治療期間・回数 | 22ヶ月(2ヶ月に1度の通院・調整料3,000円/回) |
| 費用 | 858,000円(税込・検査と診断料込・健康保険の適用外) |
| リスクと副作用 | ・1日20時間以上マウスピースを使用できない場合、治療計画通りに歯が動かない可能性があります。 ・虫歯・歯肉炎のリスクが高まります。 |